Menu
Navegação
© 2025 Resumo Instantâneo
Saúde

Proteína da "Morte" Desvenda Chave Inédita para o Envelhecimento Sanguíneo e Imunológico

Uma pesquisa disruptiva revela como a proteína MLKL, sem causar a morte celular, danifica as mitocôndrias e acelera o declínio das células-tronco sanguíneas, redefinindo a luta contra o envelhecimento.

Proteína da "Morte" Desvenda Chave Inédita para o Envelhecimento Sanguíneo e Imunológico Reprodução

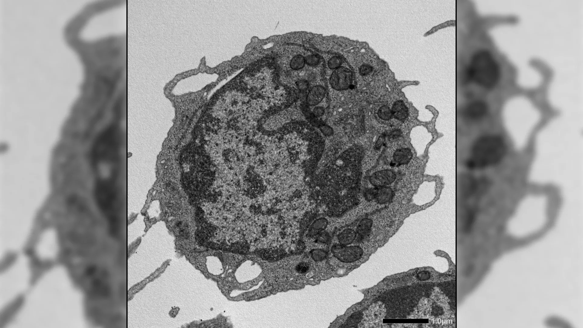
O envelhecimento é um processo multifacetado que gradualmente enfraquece nossos sistemas biológicos, sendo o declínio da saúde do sangue e do sistema imunológico uma das suas manifestações mais cruéis. Tradicionalmente, entendíamos que o desgaste das células-tronco hematopoéticas (CTHs), responsáveis por gerar todas as células sanguíneas, era impulsionado por danos cumulativos e inflamação crônica. No entanto, uma recente e marcante descoberta publicada na Nature Communications por pesquisadores do Japão e dos EUA desafia essa visão, apontando para um novo mecanismo molecular.

A investigação focou na proteína MLKL, usualmente associada à necroptose, uma forma de morte celular programada. Contraintuitivamente, os cientistas observaram que a ativação da MLKL em CTHs não resultava na morte dessas células, mas sim em um dano significativo às suas mitocôndrias – as "usinas de energia" celulares. Este dano mitocondrial, por sua vez, foi diretamente ligado à perda de funcionalidade das CTHs, incluindo sua capacidade de autorrenovação e a produção equilibrada de células imunes.

Essa revelação é crucial. Ela sugere que o envelhecimento de um dos sistemas mais vitais do corpo pode ser impulsionado não pela morte das células-tronco, mas por um mecanismo mais sutil de disfunção energética. O bloqueio da MLKL demonstrou preservar a função das CTHs, mesmo em condições estressantes ou em animais mais velhos, abrindo portas para abordagens terapêuticas inovadoras que visam a longevidade e a resiliência da saúde.

Por que isso importa?

Para o leitor preocupado com a saúde e a longevidade, esta descoberta é nada menos que transformadora. As células-tronco hematopoéticas (CTHs) são o pilar da nossa resiliência. Quando elas falham, nosso sistema imunológico enfraquece, tornando-nos mais suscetíveis a infecções, dificultando a recuperação de doenças ou tratamentos como quimioterapia, e contribuindo para a fragilidade geral associada ao envelhecimento. Entender que uma proteína, a MLKL, pode secretamente minar a energia e a função dessas células vitais — sem sequer matá-las — muda fundamentalmente a forma como pensamos sobre o envelhecimento. Imagine o cenário: seu corpo não está "matando" suas células-tronco, mas as está drenando de vitalidade, tornando-as menos eficazes a cada ano. Essa é a realidade que a MLKL parece orquestrar. As implicações são profundas. Se pudermos desenvolver terapias que inibam a ação da MLKL ou protejam as mitocôndrias das CTHs, poderíamos não apenas retardar o envelhecimento do sistema sanguíneo e imunológico, mas potencialmente reverter parte desse processo. Isso significaria uma maior capacidade do corpo de combater vírus e bactérias, uma recuperação mais rápida de lesões e cirurgias, e uma melhor resposta a tratamentos contra o câncer. Em última análise, esta pesquisa aponta para a possibilidade de não apenas viver mais, mas viver *melhor*, com mais vigor e menos vulnerabilidades na velhice, impactando diretamente a qualidade de vida e a independência na terceira idade.

Contexto Rápido

  • Células-tronco hematopoéticas (CTHs) são a espinha dorsal do nosso sistema sanguíneo e imunológico, garantindo a renovação contínua de glóbulos vermelhos, brancos e plaquetas, e seu declínio com a idade é uma causa primária de fragilidade e vulnerabilidade em idosos.
  • Avanços significativos na compreensão do envelhecimento celular têm ocorrido nos últimos anos, com um foco crescente em mecanismos que vão além da simples acumulação de danos, como a senescência celular e a disfunção mitocondrial.
  • A manutenção de um sistema imunológico robusto é essencial para a saúde pública, especialmente diante do aumento da expectativa de vida e da prevalência de doenças crônicas, onde a capacidade de combater infecções e reparar tecidos se torna crítica.
Dados de contexto baseados em estatísticas públicas e levantamentos históricos.
Fonte: sciencedaily-bem-estar

Voltar